《脊椎健康101》腰椎狹窄症:走一段就麻、要坐下才好?— 認識「間歇性跛行」與何時應就醫
【本文由 神經外科黃曉禹醫師 審閱】
如果你或父母在走路時常出現「越走越麻、坐下就好」的情形,請繼續閱讀了解原因、差別、日常保養與就醫時機。
一、腰椎狹窄症是什麼?
椎管是脊椎中央的神經通道,神經和血管通過其內。隨著年齡增長或因退化,椎間盤突出、骨刺形成、或韌帶增厚,都可能讓椎管變窄,壓迫神經或減少神經血流,產生下背痛、臀部或下肢不適,形成腰椎狹窄症。如以下示意圖。
(臨床名詞:Spinal Stenosis;以腰椎最常見)

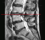
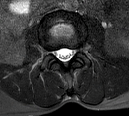
病患A右圖脊椎MRI橫切面腰椎3-4節顯示椎管內明顯狹窄。


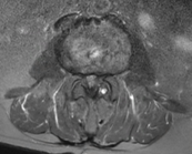
病患B右圖脊椎MRI橫切面腰椎3-4節顯示正常椎管空間。
二、誰比較容易發生?常見部位
- 好發族群:以 50 歲以上 中老年為主;長期久站、久走、需頻繁彎腰者;有脊椎退化、椎間盤問題、姿勢不良或先天椎管較小者。
- 好發部位:以 腰椎最常見(占大多數案例);其次為頸椎;胸椎較少見。
三、典型症狀:什麼是「神經間歇性跛行」?
神經間歇性跛行(neurogenic claudication)是腰椎狹窄症典型的表現:走路走一段會出現 腿麻、痠、疼痛或無力,但坐下或身體前傾(如彎腰、推購物車)症狀會好轉。休息後再繼續走,症狀可能再次出現。
為什麼會這樣?
- 走路、站立或後仰時,腰椎的椎管進一步變窄,對神經的壓力或缺血增加。
- 坐下或前屈(身體微前傾)時,椎管相對打開,神經壓迫減輕、血流改善,症狀暫時緩解。
📝 臨床提醒:許多患者會發現「推著購物車或身體前傾比較容易走遠」,這正是神經間歇性跛行的典型行為表現。另需與血管間歇性跛行區分,後者為血管阻塞有關。
|
特徵 |
神經性跛行 |
血管性跛行 |
|
緩解方式 |
坐下或前彎改善 |
停下休息即可改善,不需坐下 |
|
出現姿勢 |
站立/後仰容易發作 |
與姿勢無明顯關聯 |
|
下肢皮膚 |
通常正常 |
常有血循不良:冰冷、蒼白、足背動脈減弱 |
|
常見族群 |
脊椎退化 |
有三高、抽菸史 |
四、何時需就醫?(重要)
立即送急診(疑似嚴重神經受壓):
- 大小便功能改變(漏尿、排尿困難、尿失禁、便失禁)
- 下肢突然無力、走路劇烈不穩或突然無法抬腳
- 感覺異常急速惡化(像電擊般的刺痛或麻感迅速擴散)
這些可能是 馬尾症候群(Cauda Equina Syndrome) 的警訊,需立即就醫以避免永久性神經損傷。
門診儘早評估(神經外科,骨科或相關科別)當出現:
- 走路可走的距離逐漸縮短(例如從可走 20–30 分鐘變成只能走 5–10 分鐘)
- 持續或明顯的腿麻、腳麻、灼熱、疼痛或脹感,影響睡眠或日常活動
- 久站或久走就痛,但坐下或前傾能明顯改善
- 以下症狀經過保守治療(復健或藥物)4–12 週仍無改善,持續背痛或背痛延伸至臀部以下,沿大腿/小腿到腳的酸麻痛或無力
📝臨床提醒:不確定症狀嚴重度,建議儘速就醫評估,不要延誤可能需要的治療或影像檢查。
五、如何診斷?何時需要影像(MRI / CT)?
診斷以病史與神經學檢查 為主。當臨床懷疑神經受壓、症狀持續或需規劃介入/手術治療時,醫師常會安排 MRI(磁振造影) 或必要時的 CT,以確定壓迫的節段、程度與合併病變(例如椎間盤突出或滑脫)。
(提醒:影像結果需與臨床症狀配合解讀,單靠影像無法完全決定是否需要手術。)
六、治療方式(依症狀輕重決定)
1. 保守治療(多數病人先從這裡開始)
- 藥物:止痛藥、消炎藥、肌肉鬆弛劑、神經疼痛藥物,併注意藥物副作用
- 復健:熱敷、電療、牽引、以及以「前彎導向、伸展、核心與背肌強化」為主的個別化運動處方
- 生活調整:避免久站、久走、過度後仰、控制體重、改善工作姿勢
2. 注射或手術(中度至重度症狀或保守治療失敗)
- 類固醇或PRP注射或射頻治療:優點相對於手術屬於較低侵入性、風險較低,但治療個體間效果差異性大或只有暫時性效果,需醫師評估合適性。
- 減壓手術(微創或開放):在有持續神經症狀、進行性神經功能缺損或生活品質嚴重受限時,手術移除壓迫結構可改善疼痛與走路能力;若椎體不穩定,可能併施脊椎融合。
(臨床試驗與系統性回顧顯示:多模式的非手術治療常為首選;對於特定嚴重或無法耐受保守治療的病人,手術有明確益處。)
七、日常保養與運動建議
現有研究與臨床指南建議採用 個別化且多模式的復健計畫,包含前彎導向的伸展、核心與軀幹肌強化、以及耐力/有氧訓練。下列為一般建議(非處方):
- 建議運動:抱膝伸展、貓牛式(以拱背貓式為主,若凹背牛式如會加劇不適則避免)、椅上前傾伸展、游泳或水中運動、固定腳踏車(可延長行走耐受度)。 注意:研究多採混合運動方案,尚無高品質證據顯示單一特定伸展(如每日一次抱膝)可取代完整復健。若做伸展後症狀惡化(例如腿麻加重、無力),應立即停止並就醫。
- 建議配合:由復健科或物理治療師評估並設計運動處方,搭配生活方式調整能獲得較佳效果。
八、重要提醒與結語
腰椎狹窄症不是單純的「老人腰痠」,而是神經受壓的疾病。若你或家人常有「越走越疼、坐下就好」的情形,建議儘早就醫評估;若出現下肢無力或大小便異常,請立即就醫,以免造成不可逆的神經損害,嚴重症狀應儘早檢查、適當治療,該生活品質改善,走得更穩,走得更遠。
本文審閱:神經外科 黃曉禹 醫師
參考文獻(精選)
- Katz JN, et al. Diagnosis and Management of Lumbar Spinal Stenosis. JAMA (Clinical Review). 2022.
- Bussières A, et al. Clinical practice guideline: Non-surgical interventions for lumbar spinal stenosis. 2021.
- Comer C, et al. Exercise treatments for lumbar spinal stenosis: systematic review. 2023/2024.
- Kwon BK, et al. Lumbar Spinal Stenosis: Review Update. 2022.
(此為衛教頁面之簡短參考列表;欲取得原始文獻或完整引用,可搜尋查閱醫學資料庫。)
免責聲明:本文為衛教資訊,旨在提供一般性醫療知識,不能取代面對面診療。若有任何急性或惡化症狀,請立即就醫。
黃曉禹 醫師
專長:
頸、胸、腰椎退化疾病(骨刺、椎間盤突出、滑脫)、脊椎腫瘤、脊椎骨折外傷、骨質疏鬆等相關疾病的診斷及治療
1、神經減壓、骨融合及骨釘固定手術(含脊椎導航術式、微創手式如內視鏡和顯微手術)
2、脊椎椎體成形術 (灌骨水泥)
3、非手術侵入性治療:射頻(radiofrequency)治療、PRP注射、類固醇注射。
腦外傷、腦出血、腦瘤或水腦等疾病的診斷及治療
開顱、立體定位、鑽孔引流、腦脊髓液腹腔引流管、腦室外引流等手術
其它周邊神經病變的診斷及治療
腕隧道、肘隧道、小腿腓神經減壓等手術
現任:
- 柳營奇美醫院神經脊椎中心 次專科主任
- 柳營奇美醫院神經外科 主治醫師